Toronto Lakeshore Dental
A Great Dentist

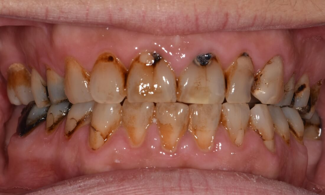
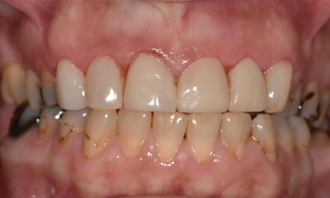
Anterior Fillings and Composite Veneer

This patient had severe decay on several upper teeth. Our experienced dentists removed the decay and used composite esthetic veneers to transform their smile. 

Getting an Appointment Is Fast and Easy!
If you have difficulty using our website, please email us or call us at (416) 503-3335