Before and After Photos
Nothing is more exciting to us than when our dentistry is able to change lives!
If you’ve considered restoring, enhancing, or improving the appearance of your smile, browse our smile gallery and take a look at some of our patients who have had similar procedures done.


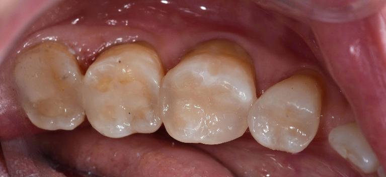
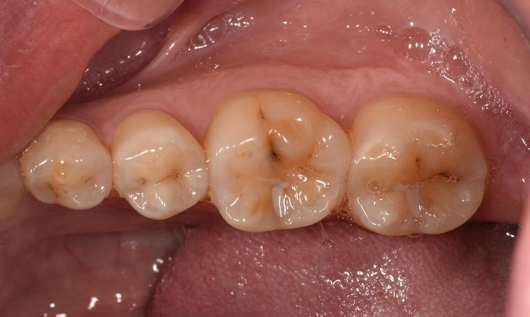
We restored this patient's old silver fillings with composite tooth-coloured fillings to give them a more natural look.


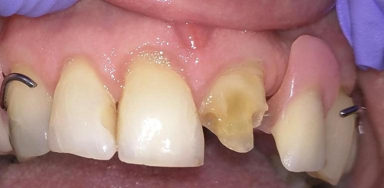
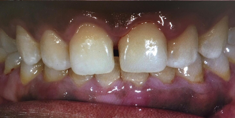
This patient had severe decay on several upper teeth. Our experienced dentists removed the decay and used composite esthetic veneers to transform their smile.


This patient had a small upper tooth. Our dentists utilized a single tooth composite veneer to create a more even look and enhance this patient's smile.
Tooth-coloured fillings can mimic the natural colour and contour.


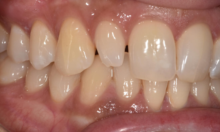
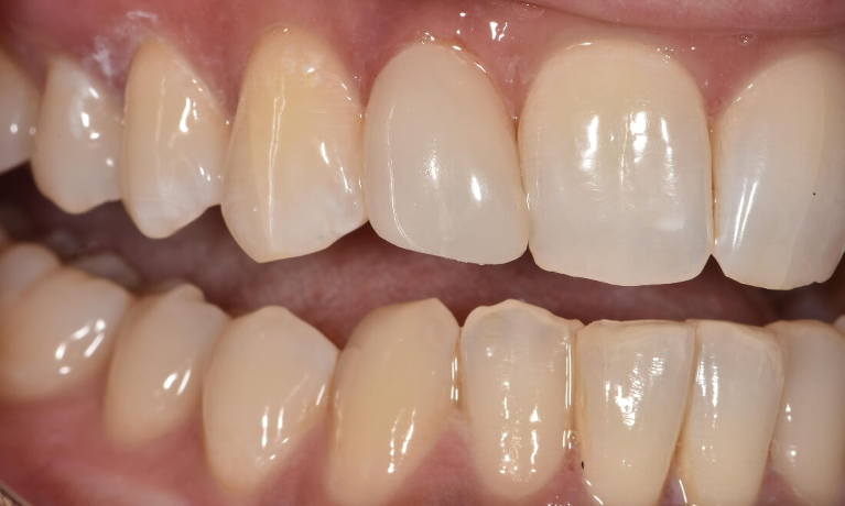
This patient had failing restorations. Our Toronto dentists replaced these restorations and transformed their smile.
When fillings are broken and space is created between teeth, there is more chance that food can stick in between teeth and cause decay or gum disease. It is important to recreate nice contact and contour of your teeth to keep them healthy. We replaced this patient's broken fillings with new, white fillings.
This patient's lateral incisor was too yellow compared to the rest of their teeth. A simple bonding procedure with a brighter shade changed her smile.


Root canal treated tooth has been crowned to prevent possible fracture in the future.


Alternative choice to replace a missing tooth. It's a great choice if you have existing crowns on the adjacent to missing tooth. All zirconia esthetic bridges available.


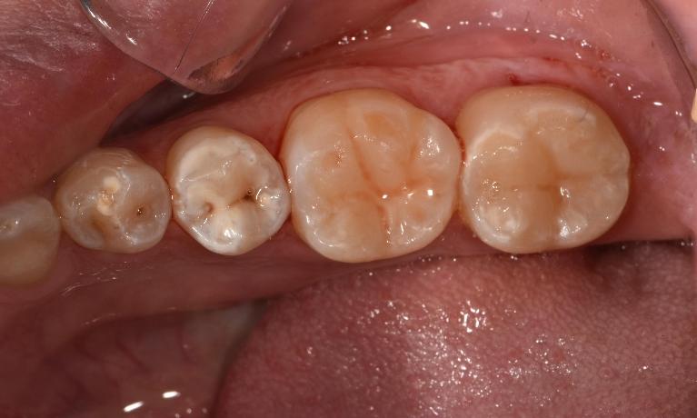
Tooth coloured restorations were completed under the rubber dam.


This patient had missing upper teeth. Our Toronto, ON dental clinic replaced the missing teeth with dental implants to complete this patient's smile.


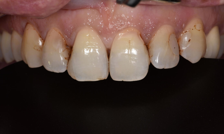
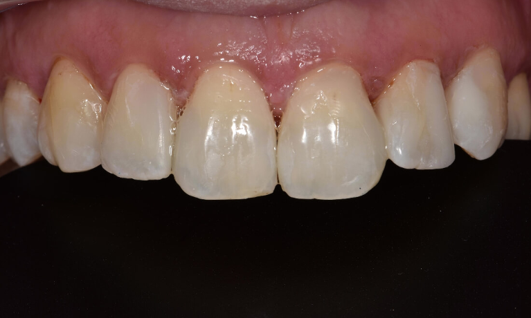
Our Toronto dentists utilized an Emax crown on the anterior teeth to help transform this improve this patient's smile and oral health.


No metal crowns anymore. Tooth colour esthetic crown stands out amongst old amalgam restorations. The best solution for a broken cusp with large restoration is a dental crown.


We used a dental implant to replace this patient's missing tooth. Our Toronto dentists then finished the implant off with a dental crown to improve this patient's oral health.


Our Toronto dentists utilized esthetic crown lengthening to improve this patient's gummy smile.