Toronto Lakeshore Dental
A Great Dentist

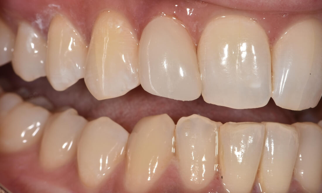
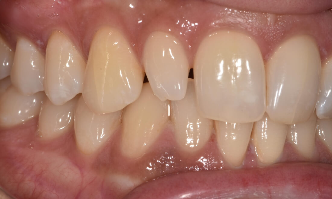
Single Tooth Composite Veneer

This patient had a small upper tooth. Our dentists utilized a single tooth composite veneer to create a more even look and enhance this patient's smile. 

Have Questions? Get in Touch
If you have difficulty using our website, please email us or call us at (416) 503-3335