Skip to main content
Toronto Lakeshore Dental
A Great Dentist
Toronto Lakeshore Dental
A Great Dentist
Book Online
Like us on Facebook
Visit us on Yelp
Watch our Youtube Videos
Leave a Google Review
Instagram
(416) 503-3335
2-3560 Lake Shore Blvd W
|
Etobicoke, ON M8W 1N6
Book Online
Home
About
Our Team
Dental Technology
Office Pictures
Services
View All
Preventive Dental Care
General Dentistry
Orthodontic Treatment
Children's Dentistry
Tooth Coloured Restorations
Crowns and Bridges
Periodontal Health
Emergency Dentistry
Teeth Whitening
Dental Implants
Family Dentistry
Root Canal Therapy
Extractions
Gum Surgery
Cosmetic Dentistry
Bruxism Treatment
Sedation Dentistry
Invisalign®
CDCP Benefits
Smile Gallery
Patient Info
View Patient Info
Your First Visit
Patient Forms
Patient Portal
Financial
FAQs
Blog
Careers
Contact
Toronto Lakeshore Dental
>
Smile Gallery
>
All Porcelain Crown
All Porcelain Crown
Return to Smile Gallery
Previous
Next
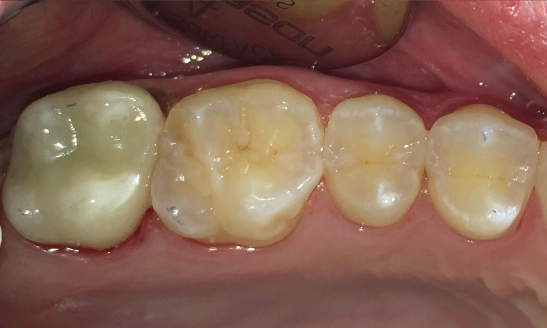
Root canal treated tooth has been crowned to prevent possible fracture in the future.
Related Services:
Crowns and Bridges
Root Canal Therapy
Before
After
Getting an Appointment Is
Fast
and
Easy
!
Get Started!
OK!
×
×
Contact Us Today
Give Us A Call
Toronto Lakeshore Dental -
(416) 503-3335
Send Us an Email
Book Online
Contact Us
Click the Button Below to Book an Appointment
Book Online
You Can Also Contact Us Directly or Fill the Form Out Below
Required Field
Your Name:
Phone:
Email:
Are you a new patient?:
Are you a?
New Patient
Current Patient
How would you like us to contact you?
Please choose
Email
Call
How did you hear about us?
Please choose
I'm an existing patient
Google/Bing
Mailer
Word of mouth
Social media
Other
Who Referred You?:
Appointment Preferences
Monday
Tuesday
Wednesday
Thursday
Friday
Saturday
Your Message:
This site is protected by reCAPTCHA and the Google
Privacy Policy
and
Terms of Service
apply.
Sending...
×
This Patient's Experience
Loading Testimonial...
Loading Case...